Natural teeth are devised for a life time but if u have lost your teeth for varied reasons either partially or completely or still struggling with failing teeth or traditional removable dentures then Dental Implants are a Blessing in Disguise for you.
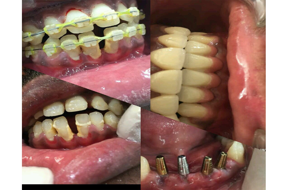
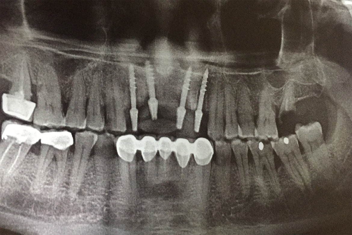
A Dental implant is a titanium post that is placed in your jaw bone which interfaces,integrates or interlocks (as in BASAL IMPLANTS) to provide a strong and secure foundation that replaces your missing teeth permanently.
They preserve the natural bone and also help stimulate fresh bone growth.
They mimic the natural teeth in form and function.
Dental implants changed the face of dentistry in past 2-3 decades.
Teeth rehabilitation is very crucial as the loss of teeth will not only have an affect on the choice of food intake but also alters speech and facial contours giving the person an elderly appearance which affects their self confidence.
Although there are several forms of teeth replacement Implants are considered the best as they are durable and functionally potent.
Though they are overpriced compared to other forms of restoration like the dentures and bridges its assets outweigh the expenditure in the long run.
Benefits
1 Restores chewing capacity there by improving your over all health
2 Enables you to speak without any hesitation
3 Improves your appearance by maintaining bone health and restoring facial contour
4 provides instantaneous fixed results in 3-5 days
5 Revives self confidence
6 Elevates the quality of life
7 with the high success rates they serve you for a life time.
© 2023 All Rights Reserved